Osteoallograft™ Orthomix™ is natural, real bone allograft designed specifically for veterinary use. It consists of osteoinductive Demineralized Bone Matrix (DBM) and osteoconductive cancellous bone chips. Using bone allograft allows you to avoid autograft procurement and associated morbidity risks. Also, because it not only provides osteoconductive scaffold but also native, osteoinductive growth factors (BMPs), you will achieve faster and stronger bone healing compared with using bone substitutes. 1
The demineralization of allograft during tissue processing allows for immediate access to the growth factors (BMPs) inherent in natural bone when it is placed into the surgery site. This results in an immediate beginning of the healing process and helps to make allograft as effective as autograft. 2-4
Osteoallograft Orthomix is professional-grade allograft:
- Processed aseptically meeting USP guidelines for sterility
- Acellular and processed by methods that have been shown to reduce
immunogenicity making immune reactions not a significant concern and
eliminating the need for any type of patient matching
- Production practices are GMP and Good Tissue Practices compliant and
modeled after human tissue banking standards
Indications
Use Osteoallograft™ Orthomix™ for:
- Fracture repair
- Mal- or non-union cases
- Arthrodesis procedures
- Bone loss
- TTAs and TPLOs 2,5
- Any other application where bone graft is reeded
Veterinarian and Patient Benefits
Why graft:
- Bone will heal faster when voids are filled with bone graft, because it provides
osteoconductive scaffold for host bone to grow on and osteoinductive BMPs that
attract Growth Factors to the site. Even when there are no voids, bone graft provides
these same advantages for accelerated healing 2,6,7
- Faster healing not only gets your patients back to normal activity faster it also
increases the chances of a successful healing outcome 2,6,7
Why use allograft:
- Reduces your OR time and cost, because it allows you to skip autograft harvesting 8
- Eliminates morbidity risks associated with the collection of bone autograft. Studies show a morbidity rate of over 25% in humans 9
- In many cases, allows you to use more bone graft than you can procure from the patient
- Studies show that allografts are as effective as autograft in bone healing 2-4
- Achieves faster and stronger bone healing than bone substitutes due to osteoinductive growth factors (BMPs) inherent in natural bone 1
Available Product Types
| Product Name |
Orthomix™
Standard |
Orthomix™
Fine |
Orthomix™
Ultra Fine |
| |
 |
 |
 |
| Particle Size |
DBM with cancellous chips < 4.0 mm |
DBM with cancellous chips < 2.3 mm |
DBM with cancellous chips < 0.7 mm |
| Indications |
Large fracture voids
Large mal- or non unions
Large bone loss cases |
Fracture voids
Mal- or non-unions
Bone loss cases
TPLOs and TTAs |
Fractures with no voids
Small breeds
Arthodeses
Hip Implants |
| Preservation Type |
Freeze-Dried |
Freeze-Dried |
Freeze-Dried |
| Volumes available |
Canine
1cc
2cc
3cc |
Feline
0.5cc
Canine
1cc
2cc
3cc |
Canine
0.5cc
1cc |
Osteoallograft Orthomix is easy to use:
 |
 |
 |
 |
| Rehydrate graft with saline. |
Mix Osteoallograft™ Orthomix™ with patient blood or bone marrow. |
Apply to surgical site. |
When working in vascular site, grafts can be applied directly out of the syringe. |
Support Materials:
Osteoallograft Orthomix Brochure (PDF: 372 KB)
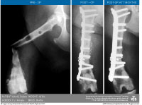
Osteoallograft Orthomix Case Study with Shaft Section (PDF: 424 KB)
Frequently Asked Questions (PDF: 44 KB)
Literature List with Excerpts (PDF: 73 KB)
A Word from VTS’s Director (PDF: 234 KB)
Pricelist (PDF: 155 KB)
Clinical References:
- Griffon DJ, Dunlop DG, Howie CR, Gilchrist T, Salter DM, Healy DM. Early dissolution of a morsellised impacted silicate-free bioactive glass in metaphyseal defects. J Biomed Mater Res (Applied Biomater). 58(6):638-644, 2001
- Hoffer M, Griffon D, Schaeffer D, Johnson A, Thomas M. Clinical applications of
demineralized bone matrix: A retrospective and case-matched study of 75 dogs. Vet Surg. 37:639-647, 2008.
- Samartzis D, Shen FH, Matthews DK, Yoon ST, Goldberg EJ, An HS. Comparison of allograft to autograft in multilevel anterior cervical discectomy and fusion with rigid plate fixation. Spine J. Nov-Dec 3(6): 451-9, 2003.
- Piotrowski M, Pankowski R, Luczkiewicz P, Markowicz A. A comparison of the effect of autogenous vs. frozen homogenous grafts on the healing of non-union of forearm bones. Ortop Traumatol Rehabil. 10(2):146-51, 2008.
- Lafaver S, Miller NA, Stubbs WP, Taylor RA, Boudrieau RJ. Tibial tuberosity advancement for stabilization of the canine cranial cruciate ligament-deficient stifle joint: Surgical technique, early results, and complications in 101 dogs. Veterinary Surgery. 36:573-586, 2007.
- Kesemenli CC, Kapukaya A, Subasi M, Arslan H, Necmioglu S, Kayikci C. Early prophylactic autogenous bone grafting in type III open tibial fractures. Acta Orthop Belg. 70(4):327-31, 2004.
- DeVries WJ, Runyon CL, Martinez SA, Ireland WP. Effect of volume variations on osteogenic capabilities of autogenous cancellous bone graft in dogs. Am J Vet Res. Oct 57(10):1501-1505, 1996.
- St John TA, Vaccaro AR, Sah AP, Schaefer M, Berta SC, Albert TA, Hilibrand A. Physical and monetary costs associated with autogenous bone graft harvesting. Am J Orthop. Jan 32(1):18-23, 2003.
- Younger EM, Chapman MW. Morbidity at bone graft donor sites. J Orthop Trauma. 3(3):192-195, 1989.
|
 |
Hoffer M, Griffon D, Schaeffer D, Johnson A, Thomas M. Clinical applications of demineralized bone matrix: A retrospective and case-matched study of 75 dogs. Vet Surg. 37:639-647, 2008 |
Lafaver S, et al
Tibial tuberosity advancement for stabilization of the canine cranial cruciate ligament-deficient stifle joint: […].
Veterinary Surgery. 36:573-586, 2007. |
 |
|